Dr Mumta Jilka

Dr Mumta Jilka

BDS (Sheffield), MFDS RCSEdin
(GDC – 153749)

Biography

Hi my name is Mumta and I am a practice owner of Abbey House Dental in Stone. Staffordshire. I am a cosmetic dentist providing teeth straightening using clear braces and creating smile makeovers. I qualified from the University of Sheffield in 2008 and have since completed my MFDS at the Royal Collage of Surgeons Edinburgh and my Diploma in Clear Aligner Therapy. I am a certified invisalign provider and have been awarded the Invisalign Diamond Apex Award for being in the top 1% of providers in the UK, Europe and Africa. I have always had an innate drive to serve the community and improve the wellbeing of our patients. I have had the privilege of treating hundreds of patients from all walks of life and in the process continuously learning to adapt my skills to match their needs and wants. As a practice owner I’m proud to say we have the honour of working alongside incredible individuals all of whom share the same ethos of caring for the patient as our own.

Practice

Mumta and her husband Amit purchased Abbey House Dental in Stone, Staffordshire in 2012 from Dr David Lehane and the late Dr Robert (Bob) Bates. At the time the practice was a 2 surgery practice operating at half capacity. After expanding our clinical skills Mumta and Amit refurbished the practice in 2015 with the help of Envirodental During this phase 4 new surgeries were built with a 2-storey extension. As the area and its surroundings grew over the years Abbey House Dental also expanded and so in 2019 a second building was refurbished into a dental practice and the third building was recently completed in 2022 with the help of Altar Construction and Envirodental. The 3 practices conveniently are all on one road.

The Dental Centre - 9 Abbey Street

The Dental Centre provides General dental care as well as NHS dentistry.

Walkthrough

The Hygiene Centre - 13 Lichfield Street

The Hygiene Centre is one of a handful of practices nationally dedicated for a team of Hygiene and Therapists.

Walkthrough

The Advanced Centre - 15 Lichfield Street

The Advanced Centre has a team of ‘experts’ and specialists in all the dental disciplines including Dental Implants, Sedation, Endodontics, Periodontics, Oral Surgery, Clinical Dental Technician, Orthodontics, Invisalign, and Smile makeovers using composite bonding or veneers/crowns. It houses our specialist equipment such as a CBCT scanner, multiple Itero scanners, microscope and electrosurgery kit.

Walkthrough

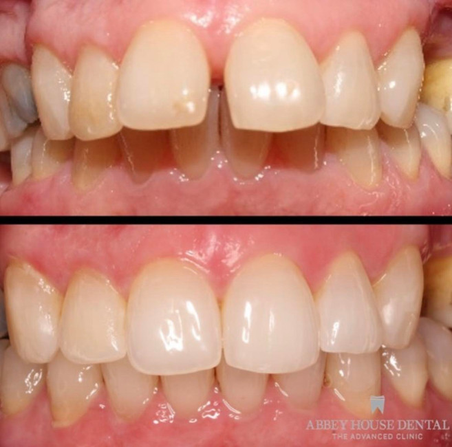
Case Studies



Proud Member Of The MiSmile Community

Podcast

Abbey House Dental is located in a small Staffordshire town, and Mumta and Amit are living proof that it’s possible to build a successful practice no matter where you are in the country.

🎧 Listen now on Apple, Spotify or wherever else you get your podcasts.

Mumta Podcast

Contact

Please contact Mumta by clicking on the chat bot, or by using the details below.

Call: 01785 818037